Atunci când în urma mamografiei se obțin rezultate susceptibile de a fi cancer, pasul următor este să realizezi o ecografie mamară pentru a obține informații suplimentare. De cele mai multe ori, ecografia mamară împreună cu examenul Doppler (ce apreciază vascularizația tumorii) reușesc să diferențieze diferitele tipuri de chisturi mamare și tumori solide, clasificându-le pe acestea din urmă ca fiind benigne sau suspecte.
CE AVANTAJE ARE SONOELASTOGRAFIA?
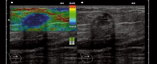
Sonoelastografia aduce elemente suplimentare de caracterizare a leziunilor mamare, în funcție de elasticitatea lor, foarte importante mai ales în diferențierea tumorilor mai puțin tipice ca aspect față de celelalte metode. Sonoelastografia nu înlocuiește mamografia sau ecografia mamară, ci le completează, uneori fiind esențială pentru diagnosticul diferențial între un nodul mamar benign de unul malign. În final, diagnosticul de certitudine este cel anatomo-patologic, care se obține în urma efectuării unei biopsii.
Un alt beneficiu al acestui tip de investigații este lipsa durerii. În plus, sonoelastografia este non-invazivă, nu folosește iradiere și nu are alte efecte secundare. Poate fi efectuată oricând, indiferent de perioada ciclului menstrual. De asemenea, poate fi utilizată și în cazul altor țesuturi moi și dificil de evaluat, precum: tiroidă, prostată, pancreas, ficat.
CE ESTE SONOELASTOGRAFIA?
Inventată de specialiștii japonezi, sonoelastografia este o tehnică nouă, care măsoară elasticitatea tumorilor mamare. Tehnica masoară proprietățile de elasticitate cu ajutorul ultrasunetelor și se bazează pe faptul că țesutul malign (canceros) este mai dur decât țesutul benign. Această metodă poate detecta și localiza tumorile atunci când au o elasticitate diferită de țesutul mamar adiacent, fiind complementară mamografiei și ecografiei mamare.
